
How lack of sleep affects your brain
Published:
In a recently published paper, "Sleep deprivation impairs molecular clearance from the human brain", Simula researchers Vegard Vinje and Kent-André Mardal have for the first time in humans shown that lack of sleep leads to reduced clearance of substances from the brain. These substances are typically many of the same waste products that are seen to accumulate in the brains of Alzheimer's patients.
In the study, a tracer was injected into the fluid spaces around the spinal cord. The tracer spread to the fluid spaces around the brain in a couple of hours. From these fluid layers, the tracer penetrated into the brain before eventually leaving the brain and cleared out over a time frame of 24-48 hours.
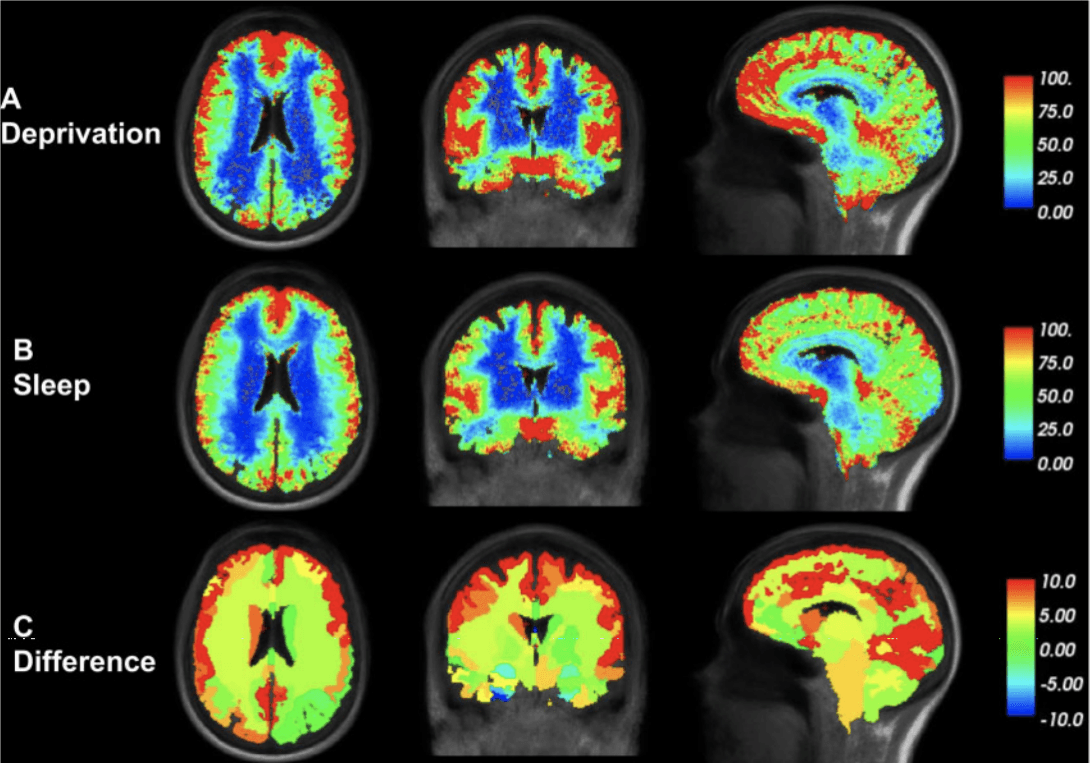
In patients who were not allowed to sleep one night, the study found a significantly higher proportion of tracer in the brain the next day than in those who were allowed to sleep. In the image above, the study shows the average increase in intensity on the MRI image (a marker for the proportion of tracer) for both the sleep and the sleep deprivation group. The last row shows the difference between the two groups, and all areas that are yellow or red here mean lower clearance of tracer in people who were not allowed to sleep.
The difference between the groups persisted for 48 hours, although both groups were allowed to sleep as normal the next night. It thus turns out that we can not catch up on lost sleep only with a subsequent good night's sleep.
The study has been conducted together withThe University of Oslo and Oslo University Hospital. The full paper, titled "Sleep deprivation impairs molecular clearance from the human brain", can be read here (https://doi.org/10.1093/brain/awaa443).
The research was also published in an article in VG and can be read here (behind paywall).